“90后”老人骨折频发,又不敢做手术?赶紧点进来了解一下
2021-03-06 21:32 来源:深圳市宝安中医院集团服务号
近日
由于深圳天气阴沉
偶有阵雨
不少市民表示十分闷热潮湿
潮湿天
尤其是老人
更要注意脚下
小心路滑
避免摔跤

俗话说伤筋动骨一百天
更别提骨质疏松严重的老年人
近日年近百岁的江奶奶
不小心在家中滑倒了
当时左大腿根部剧烈疼痛
瞬间就丧失了行动能力
不能动弹
于是家人们赶紧把江奶奶送到
宝安中医院(集团)急诊就诊
进行拍片检查后
显示江奶奶是左侧股骨转子间骨折
随后江奶奶转入
宝安中医院(集团)骨伤二区 关节专科
进行住院治疗

据了解,股骨转子间骨折是老年髋部骨折的一种,历来被业内称为“人生最后一次骨折”、“死亡骨折”等。其患病死亡率比癌症还高,一年内死亡率达36%,年龄越大越危险。尤其像江奶奶这样年近百岁的高龄老人,更是凶险异常。
因此,江奶奶入院后,关节专科主任盛朝辉迅速带领科室专家团队进行案例分析,同时完善各项检查开展详细的风险评估,最后决定为江奶奶进行“半髋关节置换术+钛缆内固定”手术。

▲盛朝辉主任团队为高龄患者进行手术治疗
近百岁的高龄老人进行手术,不管是在术中还是术后,手术风险都是不容忽视的,心脑血管、心肺功能、基础疾病等,任何一个方面出现问题,都可能成为致命因素。
因此江奶奶的家属十分犹豫,想要进行保守治疗。盛朝辉主任向他们进行了详细的治疗方案分析,消除家属疑虑。
如果进行保守治疗,江奶奶的股骨头出现无菌性坏死几率相当高,可能将面临长期卧床,无法恢复行动能力。
而长期卧床容易引发一系列并发症,如呼吸道、泌尿道感染,深静脉血栓、褥疮等,危及生命。同时,有调查表明,大部分高龄老人会因为长期卧床拖不过1年而离世。
如果进行手术治疗,我院采用“快速康复”理念,在术前、术中、术后阶段进行提前干预,使江奶奶手术前身体达到最佳状态避免术中出现并发症;术中减少手术出血量,降低身体负担;术后运用中药及中医适宜技术协同治疗,使江奶奶术后第二天就能下地进行走路训练,快速康复,保障手术效果。
同时,江奶奶是关节专科两周内接诊的第4位90岁以上患有髋部骨折的高龄老人。看着其他高龄患者术后恢复状态及行走情况,江奶奶的家属更加坚定信心,决定进行手术治疗。

▲92岁老人股骨颈骨折,进行半髋关节置换术治疗后,恢复行动能力

▲93岁老人和95岁老人股骨转子间粉碎性骨折,进行“半髋关节置换术+钛缆内固定”后,重新恢复行动能力

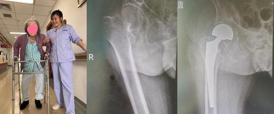
▲江奶奶进行“半髋关节置换术+钛缆内固定”后,恢复行动能力
术后,江奶奶又慢慢恢复地像以前一样可以正常行走,其他几位高龄老人也先后康复出院。
关节专科帮助这么多位高龄老人恢复的绝招
对于高龄体弱的患者来说,半髋关节置换手术是可靠安全的选择。且该科室采用改良的外侧入路技术,具有创伤小、出血小、手术时间快、脱位率低等优势。
像江奶奶这样,高龄的股骨转子间骨折,多属于粉碎性骨折且伴有严重的骨质疏松。如果采用一般的钉板内固定手术或者髓内钉固定方式,术中复位困难,股骨近端对内固定材料把持不牢,依然无法满足早日下地活动的愿望。
而关节专科选择加长柄半髋关节置换+钛缆内固定术。该技术使用全涂层加强柄,可以起到股骨远端固定支持,骨折粉碎程度再严重也不怕,可以早期下地,越下地活动,植入的假体越稳。


本文作者:骨伤科二区 关节专科 夏威夷
宝安中医院(集团)骨伤科关节专科
主要诊疗疾病范围包括:
各关节骨性关节炎,膝关节退行性变,股骨头坏死,老年髋部骨折,膝关节交叉韧带损伤,半月板损伤,运动损伤,髌骨脱位,肩袖损伤,肩关节不稳定,髋臼发育不良,先天性髋关节脱位等。
可开展运动系统畸形的矫形术、糖尿病足的横向骨搬移技术等,尤其专注于保膝保髋治疗以及关节镜微创手术治疗。
健康热线:29629333转8801

点击查看专家详细介绍及预约挂号
点击以下链接 查看更多热文
【“她”专栏】三月不减肥,四月徒伤悲
【福利】孕前检查、两癌筛查这三项检查可以免费做!
“雨水”时节开工,宜去油养肝调作息
过年=换个地方玩手机?不要让颈椎病成为年轻人的标配

喜欢就点个“在看”呗


