提起心脏病人们一般会想到胸闷、气短、胸痛、心悸等症状,但谁会想到偏头痛也可能是心脏病的一种表现?
近日,29岁的余先生在9天前反复出现头痛,每天发作2-3次,每次持续半小时到3小时,偏头痛的经历让他苦不堪言,甚至以为脑袋里面长了东西,吓得不轻。

在社康治疗多日未好转,于是来到中国科学院大学深圳医院神经内科就诊,经过检查发现,神经系统没啥大碍,结果心脏超声提示卵圆孔未闭,属于先天性心脏病。

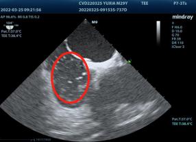
▲超声心动图发泡试验:房水平可见气泡过隔
那么,如何填补心脏的“小孔”呢?
余先生也很担心:
长在心脏上的“小孔”,是不是得打开胸腔才能填补?有没有伤害小、创伤小、能较快恢复的方法?
还真有!

术前评估
3月26日,我院副院长兼心血管中心主任汪涛教授组织了结构性心脏病诊疗中心多学科在线讨论,心内二科、心外科、神经内科、DSA、麻醉科、手术室、超声科等相关医护人员对患者进行了全面评估。
结合病史、体征辅助检查,最后拟定采用微创介入的方式实施“卵圆孔封堵术”,并精心部署好围手术期的各项工作,确保患者安全。



▲汪涛教授组织结构性心脏病诊疗中心
多学科在线讨论

治疗经过
3月29日,我院结构性心脏病诊疗中心介入治疗单元专家团队在东院区介入导管室,为患者成功实施了“卵圆孔封堵术”。局麻下穿刺股静脉,经过未闭卵圆孔建立轨道,将封堵器送达卵圆孔部位嵌入“小孔”阻断异常血液分流,最后由超声进一步检查确认封堵效果,用时不到一小时。


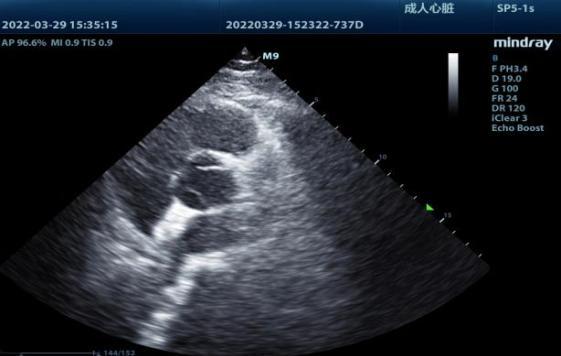
▲术后超声
我院已成功完成多例卵圆孔未闭、房间隔缺损、室间隔缺损、动脉导管未闭等先天性心脏病的微创介入封堵术,体现了我院危重疾病抢救、多学科联合诊治的能力,获得了患者的好评。
特别是近期我院心血管中心联合多学科成立了“结构性心脏病诊疗中心”,将更加规范、更加安全地开展各类心脏病诊疗工作,给光明及周边地区的心脏病患者带来了福音。

卵圆孔未闭为什么会引起偏头痛?
什么是卵圆孔未闭?
打个比方,心脏内部就好比是一个四居室,分为:左心室、右心室、左心房、右心房。左心房右心房由“墙壁”——房间隔分隔开,而在房间隔上有个重要的组织部位叫:卵圆孔。
心脏的卵圆孔是胎儿发育时期必需的一个生命通道(由于胎儿循环的特殊性,卵圆孔使左右心房相通),维持其正常血液循环。

出生后,随着孩子的一声啼哭,肺循环的建立,卵圆孔使命结束,会闭合。若3岁以后卵圆孔仍不闭合则称为“卵圆孔未闭”。它在成年人群中属常见,大约1/4左右的人都有可能发生。
为什么会引起偏头痛?
卵圆孔未闭所导致的偏头痛,通常是因为右心房的静脉血经卵圆孔流进入左心房,从而随动脉血到达脑部所引起的。右心房的静脉血中常常会因静脉血流速过慢血脂过高而含有微栓子,这些微栓子随动脉血到达脑部后,有可能引起脑血管梗阻、狭窄,所以脑组织会因缺氧缺血而引起偏头痛。严重的还有可能导致中风。
越来越多的医学研究表明:卵圆孔未闭是不明原因脑卒中的一个重要病因!经过卵圆孔封堵治疗后,大部分患者偏头痛症状会得到明显改善,表现为频率降低、疼痛减轻。


联系方式
科室咨询电话:
13613667413(东院区)
出诊时间:周一至周五
出诊科室:
西院区门诊二部三楼心胸血管外科3号诊室(松白路4253号)
东院区心内科/心血管病预防与康复门诊(华夏路39号)
备注: 可在互联网医院(公众号“中国科学院大学深圳医院”后台—“智慧医院”—“互联网医院”)搜索医生免费咨询
科普指导专家

汪 涛
副院长兼心血管中心主任
主任医师
1994年毕业于华西医科大学,先后在国家心血管中心北京阜外医院深圳医院、深圳市人民医院等单位工作,现任中国科学院大学深圳医院副院长兼心血管中心主任。曾在国家心血管中心、上海儿童医学中心等国内著名医学中心学习,先后在德国柏林心血管中心、新加坡国家心脏中心研修,在美国明尼苏达大学微创心脏中心、美国圣地亚哥心血管中心、哈佛大学医学院访问学习。做为主要参与者成功完成了心脏移植、肺移植、机器人冠脉搭桥等手术,曾主刀成功完成广东地区首例心脏不停跳瓣膜置换手术。
从事心血管临床工作二十余年,在心脏瓣膜置换、冠状动脉搭桥、先心病的综合诊疗方面具有较深的造诣。近年来在主动脉夹层、腹主动脉瘤腔内治疗,胸腹主动脉瘤杂交手术、下肢动脉闭塞与腔内治疗、静脉曲张微创激光腔内治疗、血栓栓塞性疾病防控等方面,取得了不俗的成绩。主持省、市级科研课题多项,主编、参编专著近10部,在国内外发表论文近20篇。作为发起人,在深圳成功举办了五届全国老年血管健康管理高峰论坛、七届深港澳血管论坛。
学术任职:
•亚太血管学术联盟常务理事
•国际静脉学联盟中国静脉学会委员
•中国老年学学会理事会常务理事
•中国老年医学学会周围血管疾病管理分会常务副会长
•中国研究型医院学会体外循环专业委员会副主任委员
•中国微循环学会周围血管疾病专业委员会常务委员
•国家心血管病专家委员会血管外科专委会常务委员
•国家卫健委脑卒中防治工程专家委员会脑卒中康复专业委员会常务委员
•广东省医学会心外科专业委员会委员
•广东省医学会血管外科专业委员会委员
•深圳市医师协会心血管外科医师分会副会长
•深圳市医师协会血管外科医师分会副会长
•深圳市医师协会胸外科医师分会副会长
•深圳市医院管理者协会卫生健康运力专委会副主任委员
本微信公众号致力于公益宣传,无任何商业用途,图片版权属于原作者,若有文字、图片、视频涉及侵权或违规,请及时告知删除。
文:刁力为、许文竹
制作:江珊
审核:王静杰
关注我们
我院服务号


我院订阅号


