“医生,我喘不过气,请救救我!
我现在连工作也没了,一点力儿也不敢使”
2019年的一天,45岁的陈先生(化名)来到国科大深圳医院呼吸内一科求医,他一脸悲伤,喘着粗,气脸上还带着憋气后的暗紫色。
“怎么回事?喘得这么厉害?”
“我咳3年了,有痰也咳不出,开始没在意,现在发展到讲2句话、走2步都喘的不行,连工作都丢了……”
陈先生哽咽道。
经CT及支气管镜检查后发现,陈先生竟有10余年肺结核病史,导致支气管严重狭窄。
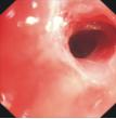
“正常人支气管直径在10~15mm,而陈先生的左主支气管狭窄处几乎完全闭塞,随时有痰液堵塞窒息的危险。”
呼吸内一科主任龙发立即组织会诊,最后确定手术方案,决定在应用抗结核药物基础上,进行球囊扩张术联合硅酮支架置入治疗,以达到最佳疗效。




1术前几乎闭塞的气管
2电灼
3球囊扩张治疗
4术后明显扩张的气管
手术很成功,陈先生的气道从几乎闭塞扩大至12mm(正常人在15mm左右)。喘不上气儿的症状明显改善,陈先生露出了久违的笑容,感叹道:
“这真是术前地狱、术后天堂啊!俗话说人活一口气,我终于可以大口呼气了!”
在陈先生的故事中
我们最该引起重视的
就是造成他呼吸困难的肺结核
肺结核号称全球头号传染病杀手
名字叫“结核杆菌””
健康人只要吸入这种带菌的飞沫就会感染上结核菌,身体抵抗力差的人就可能发病

如何识别肺结核 ?
肺结核是一种慢性呼吸传染病,擅长潜伏,专门欺负弱小,使毫无防备的人们中招。
一旦有以下症状建议尽快就医



咳嗽
咳痰
胸痛



痰中带血
午后低热
夜间盗汗
如果有咳痰、咳嗽两周以上,或痰中带血丝
应立即前往结核病定点医疗机构就医
肺结核有啥危害 ?



导致脑膜炎
呼吸衰竭
皮肤感染
不仅如此,它会影响你的健康、工作、生活,严重时会危及生命,同时还可能传染你的家人和朋友。
如何预防肺结核 ?
1. 新生儿时应接种卡介苗
2. 保持良好的生活习惯



适度运动
不随地吐痰
勤通风
2. 患者家属做好防护措施



佩戴口罩
最好单独居住或分床睡
不扎堆
肺结核治疗 唯早不破
肺结核患者多数起病缓慢,病程较长
早发现至关重要
及时规范治疗,绝大多数患者都可治愈
若久拖不治或不规范治疗
不仅影响健康,还更不易治愈,费用升高
早发现 早诊断 早治疗
是治愈肺结核的关键

我们的特色

• 呼吸内镜特色技术深获同行及患者的认可,每年门诊量约10万人次,呼吸内镜诊疗数千例,在深圳市同行业中处于领先地位
• 在全市率先开展“支气管热成形术”治疗难治性哮喘(已经达1000例次居全国第一)
• 擅长诊治呼吸系统疑难危重症病
科普指导专家

龙发
主任医师 教授 硕士生导师
擅长:诊治呼吸系统疑难危重症病(难治性哮喘、肺气肿、肺大疱、肺结节、肺肿瘤、各种急慢性呼吸衰竭(含ARDS)、间质性肺病、难治性气胸、肺梗塞)及呼吸内镜微创介入技术。在我市率先开展“支气管热成形术”治疗难治性哮喘(已经达1000例次居全国第一)、“光动力”治疗肺癌、“肺减容术”治疗重度肺气肿及难治性气胸、多模态全肺导航支气管镜下经肺实质肺外周结节取样术(即肺隧道技术、BTPNA)诊疗肺结节早癌、内镜肿瘤冷热消融术(电刀氩气刀、海博针、光动力、冷冻、激光、射频消融、微波、支架、放射粒子植入)、超声支气管镜EBUS-TBNA、CT引导下肺癌消融术、内科胸腔镜等诊疗技术。
本微信公众号致力于公益宣传,无任何商业用途,图片版权属于原作者,若有文字、图片、视频涉及侵权或违规,请及时告知删除。
资料来源:呼吸内科 黄文婷
制作:江珊
审核:王静杰
关注我们
我院服务号


我院订阅号


