头晕 就像一个小偷
偷走了我们生活的舒适度

它又非常狡猾
每个人头晕的原因都可能不同
不少人觉得
休息休息就好了嘛~
可一些资深“头晕”患者
也这样认为
就是不愿就医

深圳41岁的李姐(化名),公司职员
近年来反复头晕
忍无可忍时
才到当地医院做了头颅MRI等检查
抱着吃点药就能好的侥幸
谁料医生严肃地告诉李姐:
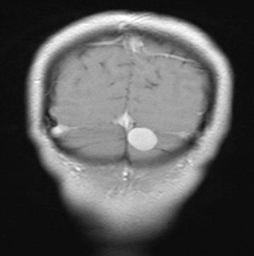
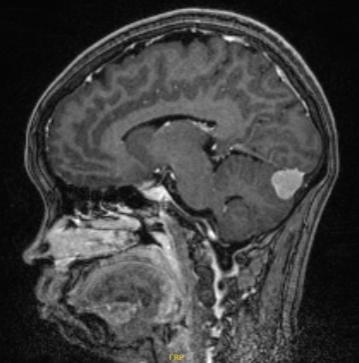
“你左侧后脑勺里,可能有个脑肿瘤。”
晴天霹雳
李姐和家人可不敢再耽搁了
赶紧来到我院神经外科
完善进一步检查


结合李姐头晕多年的病史
神经外科主任范学政告诉她:
“这可能是脑膜瘤, 必须手术切除
它位置刁钻,正好处在静脉回流交汇处、横窦旁”

一旦操作不当会引发大出血
属于非常凶险难度很高的手术

李姐担忧地问:
“那得在我脑袋上要开多大的口子呀?
伤疤会很明显吗?”
“位置这么凶险的肿瘤,一般采用全开颅手术,
切出15-20公分的口子,方便观察操作。”
一想到要顶着那么长的疤痕
爱美的李姐顿时左右为难
经过评估,范主任又提出“微创锁孔方案”,只需在李姐后脑开一个不到5公分的直线小口子,但视线狭窄,操作难度直线上升,对医生来说是个极大的挑战。

经过详细的了解
李姐毫不犹豫地选择微创锁孔方案
也坚定地相信范学政主任团队
用最大努力换最好的结果
为了把手术的风险降到最低,神经外科易剑波医生团队通过三维重建技术,进行多次手术模拟,终于找到创伤最小的手术方式。
“最大限度保护患者脑组织、脑神经及血管,正是我们不断探索追求的真正‘微创’”
有了术前的精准评估和多次模拟测试,手术当天,范学政主任、易剑波医生团队仅打开2-3公分大小的骨瓣,4个小时就将李姐脑中的肿瘤全部切除,而且没有伤及横窦出血,手术出血仅40~50毫升左右,连主刀医生也感叹”这场手术的成功太不容易了!”

易剑波博士还在伤口处做了美容缝合,无需拆线,能让伤口更加隐形。
醒来后的李姐笑道:
“整个过程没有任何痛苦,就睡了一觉,醒来后也没有不适。”
术后恢复也很好,李姐没有任何并发症及神经功能缺损,她对伤口尺寸也非常满意,
“等头发长长了,就谁也看不出来了”

▲术后第5天的刀口
术后第7天,李姐就开心地出院了,因为住院时间短,加上医保报销,共自费了数千元。

▲出院前李姐开心地与神经外科医生合影
术后病理提示,李姐脑中的是脑膜瘤。
这是颅内发病率第二的原发性肿瘤,而且好发于中年女性,脑膜瘤早期症状不明显,初期仅有头痛头晕症状,很容易被忽视,所以脑膜瘤被发现时往往已经长得很大。
但好在脑膜瘤没那么可怕,它们绝大多数是良性的,且预后很好,但是不同部位的脑肿瘤,引发的症状也不同,像李姐的反复头晕。
✦✦
范学政教授提醒大家
当身体出现不适,自己又不能准确辨别时,一定要及时就医,一点小毛病,可能就是一场大病的征兆,而最好的结果,就是把这个征兆扼杀在摇篮里。
我们的优势

• 光明区及周边区域重型颅脑外伤及其他神经外科急重症抢救中心
• 成熟开展颅脑创伤、颅内肿瘤、脑血管病、颅内感染性疾病和先天性疾病等治疗
• 对神经外科各种疑难疾病及术后患者康复期的治疗均取得良好疗效
联系我们
科室咨询电话:27165666转81481
范学政主任:18126081550(微信号:f15107713812)
易剑波医生:13823192734
出诊科室:神经外科(西院区松白路4253号)
备注: 可在互联网医院(公众号“中国科学院大学深圳医院”后台—“智慧医院”—“互联网医院”)搜索医生免费咨询
【推荐阅读】
1.生娃有风险,管控有法宝,想接好孕的你快看!
2. 粗心女子肚大如箩却不在意,照完CT当场吓懵
3. 什么?打鼾竟然也会致死!这种鼾声最危险
4.猝死有多可怕,心脏康复就有多重要!
5.名医访谈丨当心梗“来袭”,胸痛、胸闷时,我们该怎么做?
科普指导专家

范学政
神经外科主任
医学博士主任医师 硕士生导师
擅长:毕业于四川大学华西医院,师从我国著名神经外科专家游潮教授。擅长应用显微神经外科技术和内镜技术治疗重型颅脑外伤、脑出血、脑胶质瘤、垂体腺瘤、听神经瘤、颈动脉狭窄内膜剥脱术(CEA)、脑动脉瘤、脑动静脉畸形、脑积水等疾病。尤其对锁孔、内镜技术造诣颇高。对脑胶质瘤发生发展的负性免疫调节、脑出血病因及脑动脉瘤的形成机制等有深入的研究。现任《中国当代医药》杂志编委,主持省部级科研课题3项,参与国家十二五科技支撑计划项目1项,发表专业学术论文30余篇,其中中华系列7篇,SCI论文收录2篇,获实用新型专利3项。
学术任职:
中国中西医结合学会神经外科分会委员
中国中西医结合外科围手术期学会专家委员
国家卫计委脑损伤质控评价中心临床评估专家
深圳市医学会神经外科分会常务委员
深圳市医师协会神经外科分会委员
end
本微信公众号致力于公益宣传,无任何商业用途,图片版权属于原作者,若有文字、图片、视频涉及侵权或违规,请及时告知删除。
资料来源:神经外科 易剑波
制作:江珊
审核:王静杰
关注我们
我院服务号


我院订阅号


