从小就逐渐丧失嗅觉的刘先生
怎么也想不到,在他51岁时
居然发现了这个困惑他近40年的谜底
在年初岁末交替之际
刘先生酒足饭饱后
兴致勃勃地和朋友打起牌来

就这样酣战到凌晨3点
处于兴奋中的刘先生突然“手舞足蹈”起来
朋友们定睛一看
“坏了,老刘这是犯羊癫疯了”
家属急忙将刘先生送入我院
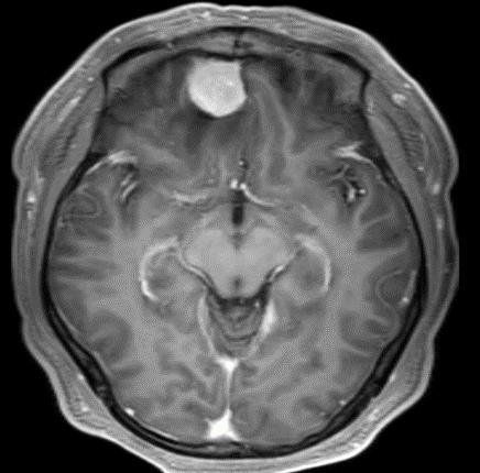
经查头颅CT、头颅核磁共振检查发现
刘先生右侧额头处有个肿瘤,还伴有大片水肿


结合刘先生丧失嗅觉多年的病史
神经外科主任范学政告诉他:
“你之所以从小丧失嗅觉,是因为你打小靠近眼眶嗅沟处就长了个瘤子,它还在慢慢长大压迫你的脑组织,导致这次癫痫发作,不干预的话可能会脑梗塞、脑水肿,颅内压高导致瘫痪,必须尽快切掉!”
一听到要在脑袋上做手术
刘先生顿时有些腿软

开一趟颅就是走一趟鬼门关啊
看出刘先生的担忧,范学政主任安慰道:
“别太担心,在条件允许下,我们主张“微创”,不用“脑洞大开”,根据你的肿瘤大小及位置,可以从你眉头中心开个口子,再做个美容缝合,跟常规开颅手术比,伤口小恢复快!”
听完范主任的话,刘先生壮了壮胆子
同意接受手术治疗
术前模拟定位
术后精准切除
从以往开颅手术的“一览无余”,到现在的微创“锁孔”手术,只能在方寸之间施展拳脚,对手术医生的精准操作是更大的考验。
为了保障手术顺利,接诊医生易剑波利用3D—Slicer软件,导入刘先生脑部肿瘤影像资料进行三维重建,设计切口,不断尝试,找到将创伤降到最低的手术方式,他说:
“能最大限度保护患者脑组织、脑神经及血管的手术,才是真正的微创,也是我们所推崇的最佳方式”
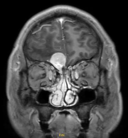
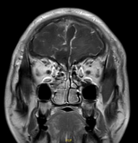
有了术前的精准评估和模拟测试,范学政主任、易剑波医生团队只用了4个小时就将刘先生的肿瘤全切,并在伤口处做了美容缝合,无需拆线,能让伤口更加隐形。

术后病理及免疫组化结果提示:刘先生脑中的瘤子是过渡型脑膜瘤(WHO I级)。幸运的是,过渡型属于良性,生长缓慢,手术切除干净后,一般不会复发。


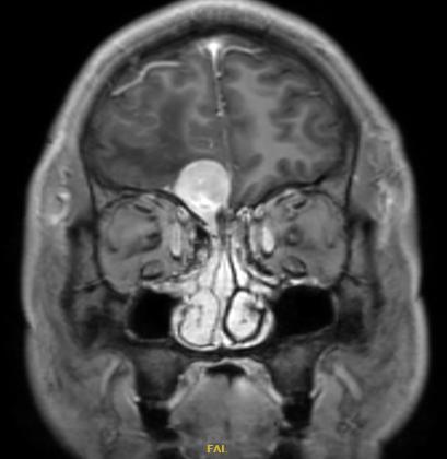
手术前
手术后
肿瘤被切除
术后第6天,刘先生就唱着小曲儿出院了,因为住院时间短,加上医保报销,刘先生共自费了数千元。

▲术后曾先生开心地与神经外科医生合影
更令刘先生高兴的是,他的“羊癫疯”再也没发作了,而且他眉心的刀口一天比一天浅,外人也看不出他可曾是“脑门开过刀的壮士”。

我们的优势

• 光明区重点学科
• 光明区及周边区域重型颅脑外伤及其他神经外科急重症抢救中心
• 成熟开展颅脑创伤、颅内肿瘤、脑血管病、颅内感染性疾病和先天性疾病等治疗
• 对神经外科各种疑难疾病及术后患者康复期的治疗均取得良好疗效
联系我们
科室咨询电话:27165666转81481
范学政主任:18126081550(微信号:f15107713812)
易剑波医生:13823192734
出诊科室:神经外科(西院区松白路4253号)
【推荐阅读】
1.生娃有风险,管控有法宝,接好孕必看
2. 粗心女子肚大如箩却不在意,照完CT当场吓懵
3. 什么?打鼾竟然也会致死!这种鼾声最危险
4.猝死有多可怕,心脏康复就有多重要!
5.名医访谈丨当心梗“来袭”,胸痛、胸闷时,我们该怎么做?
科普指导专家

范学政
神经外科主任
医学博士主任医师 硕士生导师
擅长:毕业于四川大学华西医院,师从我国著名神经外科专家游潮教授。擅长应用显微神经外科技术和内镜技术治疗重型颅脑外伤、脑出血、脑胶质瘤、垂体腺瘤、听神经瘤、颈动脉狭窄内膜剥脱术(CEA)、脑动脉瘤、脑动静脉畸形、脑积水等疾病。尤其对锁孔、内镜技术造诣颇高。对脑胶质瘤发生发展的负性免疫调节、脑出血病因及脑动脉瘤的形成机制等有深入的研究。现任《中国当代医药》杂志编委,主持省部级科研课题3项,参与国家十二五科技支撑计划项目1项,发表专业学术论文30余篇,其中中华系列7篇,SCI论文收录2篇,获实用新型专利3项。
学术任职:
中国中西医结合学会神经外科分会委员
中国中西医结合外科围手术期学会专家委员
国家卫计委脑损伤质控评价中心临床评估专家
深圳市医学会神经外科分会常务委员
深圳市医师协会神经外科分会委员
end
本微信公众号致力于公益宣传,无任何商业用途,图片版权属于原作者,若有文字、图片、视频涉及侵权或违规,请及时告知删除。
资料来源:神经外科 易剑波
制作:江珊
审核:王静杰
关注我们
我院服务号


我院订阅号


