和别人发出一样的声音
是小玲18年来最大的梦想
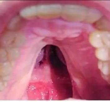
喉咙里天生的一道裂痕,也就是医学上所说的先天性颚裂,让小玲无法像正常人一样控制口腔内的气流和语音。
“为什么我和别人不一样?”
随着年纪增长,并发症“腭裂语音”越来越明显。
说不清楚的失落、被当成异类的难过及嘲笑,伴随着小玲的整个青春。

“说不好,我就不说了”
小玲躲在自己的保护壳里,不愿和人交流。
眼看着女儿越来越内向,小玲的父母着急起来,带着女儿四处求医。
偶然间,他们了解到我院口腔颌面外科的刘主任是唇腭裂专家,有丰富的唇腭裂手术经验, 当即带上所有的希望奔赴而来。
刘主任耐心、详尽的解释,让小玲卸下了心理负担,重新燃起能够像正常人一样说话的希望。
18年来不被人理解的自卑,只用了一场手术、两个小时,就被完全打碎。


手术前 上颚裂痕
手术后
缝上的不仅是喉咙里的裂痕,更是青春里的裂痕。

经过努力地康复训练,小玲的发音一天比一天清晰,笑容也一天比一天灿烂,早晚她会像同龄人一样流畅地说话,那就是刘主任最想看到的画面。
口腔面部的美容修复师
这些毛病他们都能治
帮助小玲恢复微笑、重拾自信的刘夏诚主任
是我院 口腔颌面外科 的学科带头人

很多人都以为,口腔科就是“牙科”
其实,口腔颌面外科不仅仅治牙
还会治疗口腔的其他问题
因为,口腔也会感染,也会骨折
会有唇腭裂,还会长癌……
简单来说
从颅顶到颈根部的所有部分
他们都能修复

口腔颌面部
良恶性肿瘤
面部骨折外伤
及炎症


口腔器官(牙槽骨、唇、颊舌、咽等)畸形修复美容
面瘫等面部神经
疾患


颞下颌关节、
唾液腺疾病
颈部疾病


我们的优势
可开展口腔颌面外科学研究所有疾患
是深圳市西北部(光明区及其周边)唯一口腔颌面头颈疾患外科治疗中心
团队成员均来自国内三甲医院,临床经验丰富,诊疗技能优秀
联系我们
科室咨询电话:27165666转81481
刘夏诚主任出诊时间:
每周二全天,以及周四上午
备注: 可在互联网医院(公众号“中国科学院大学深圳医院”后台—“智慧医院”—“互联网医院”)搜索医生免费咨询
【推荐阅读】
1.什么?打鼾竟然也会致死!这种鼾声最危险
2.粗心女子肚大如箩却不在意,照完CT当场吓懵
3.猝死有多可怕,心脏康复就有多重要!
4.名医访谈丨当心梗“来袭”,胸痛、胸闷时,我们该怎么做?
5.名医访谈丨介入超声技术——针尖下的“精准打击”
科普指导专家

刘夏诚
口腔颌面外科主任
医学博士主任医师
毕业于口腔颌面头颈外科学圣殿——上海交通大学附属上海九院。从事口腔颌面头颈外科临床实践10余年,具有丰富的专业技能经验。
社会任职:九三学社社员、中华口腔医学会颞颌关节专业委员会委员、中国研究型医院协会整形美容学会委员、海南省新技术准入评审委员会特聘专家。
end
本微信公众号致力于公益宣传,无任何商业用途,图片版权属于原作者,若有文字、图片、视频涉及侵权或违规,请及时告知删除。
资料来源:口腔颌面外科 梁世桢
制作:江珊
审核:王静杰
关注我们
我院服务号


我院订阅号


