一直盼望当妈妈的小兰万万没想到
这日渐隆起的大肚子里



不是朝思暮想的可爱宝宝
而是一个
趁虚而入的“沉默杀手”!
惊喜变惊吓
这是怎么回事?
小兰会有生命危险吗?
以后还能生育宝宝吗?
快来看看专家怎么说

名 医 访 谈 之 消 失 的 宝 宝
点击边框调出视频工具条
家住光明的小兰结婚一年了
随着肚子慢慢变大
一心想要个宝宝的她
充满了即将要当妈妈的幸福感
可是心大的小兰竟然
一次产检也没有做过!
这样稀里糊涂过了快一年
等到小兰的肚子胀大到实在忍受不了
却一点“胎动”的感觉都没有
全家人终于坐不住了
赶紧把小兰送到我院妇科
做了尿检等相关检查
发现小兰竟然没有怀孕!
再进一步做CT等相关检查后
医生表情凝重:
“这真不是胎儿!
而是一个超大盆腹腔肿物!”

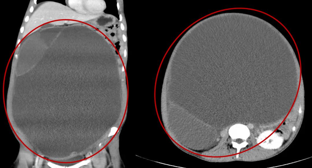
(▲红色圈内为小兰盆腹腔里的巨大肿物)
原来
一个直径超30厘米的
超大盆腹腔肿物
占满了小兰的整个腹腔和盆腔
把她肚子都快撑破了
根据经验推测
医生判断这可能是卵巢肿瘤
对于女性来说
卵巢肿瘤并不少见
但像小兰腹部里
比怀孕8个月还大的卵巢肿瘤
实属罕见
这就像,肚子里塞了一个 “炸弹”
它不仅随时可能破裂
还压迫着内部脏器、肠道
导致小兰腹胀、食欲减退、呼吸不畅
破裂时会剧烈腹痛伴随腹腔出血
“必须尽快手术!”
得知这双重打击的小兰
几乎陷入绝望中


妇科侯安丽主任看出小兰的担忧,结合相应肿瘤标的物检查、CT的影像学的分析,耐心地安抚小兰:
“别太担心, 依据现有检查,考虑你这可能是卵巢良性肿瘤或卵巢交界性肿瘤
我们尽量保留你的生育功能!”
原来
卵巢肿瘤分三种
卵巢良性肿瘤
卵巢交界性肿瘤
卵巢恶性肿瘤(即卵巢癌)
卵巢良性肿瘤 若不及时治疗:
会逐渐胀大占据整个盆腹腔
引起尿频、便秘、呼吸急促
卵巢交界性肿瘤 晚期:
会发生转移或恶变,需要切除卵巢
卵巢恶性肿瘤 晚期:
会发生远处转移、淋巴结转移
预后很差,死亡率高


初期
晚期
它们的共同点
初期几乎都无不适 不易察觉
但卵巢良性肿瘤和卵巢交界性肿瘤
早期发现早期治疗可以治愈
因此要定期妇科体检
发现异常尽早治疗
听完侯主任的话
小兰鼓起勇气决心手术
但爱美的她又开始担心:
“要取这么大的瘤子,那我的肚子上
岂不是要切 20~30厘米 的大切口?”
侯安丽主任也陷入思考:
“这么大的瘤子,普通腹腔镜手术是难以切除的,一般都采用开腹手术,大伤疤难以避免...”
庆幸的是,在我院妇科
有一项技术水平过硬的特殊技术
单孔腹腔镜手术

单孔腹腔镜 术后切口
PK


开腹手术 切口
多孔腹腔镜 术后切口
当日手术时
侯安丽主任在小兰肚脐部位
切开2.5厘米的小切口
通过人体自身孔道
把囊液吸出,将肿瘤完整切除



左右滑动查看更多
这时术中快速病理检查结果显示:卵巢良性肿瘤,大家也终于松了一口气。
单孔腹腔镜手术切口小,恢复快
2天后小兰就高高兴兴的出院了

小兰术后
恢复切口
而且术后一个月,就可以重新开始备孕
拥抱她的圆满人生
小兰激动又感慨的说:
“非常感谢侯主任及妇科团队医护人员,是你们给了我战胜病痛的勇气,如果再耽误下去,真的不知道会发生什么。”
也非常感谢你们帮我切除了巨大肿瘤又留住了美丽,术后几乎没有疼痛,恢复也很快,值得推荐给与我有同样遭遇的女性朋友们!
最后
侯安丽主任再次
向各位小仙女们强调一下
处于育龄期的女性,当月经不规则,肚子突然增大时,务必及时到医院就诊,以免延误病情哦!
我们的优势

妇科每年开展
宫腹腔镜手术例数达到2800余例
其中单孔腹腔镜近4年开展以来
发挥其独特的优势
在同行业处于领先地位
常年有经验丰富的
主任医师、副主任医师坐诊
并拥有先进、齐全的宫腹腔镜设备
为患者提供优质高效的诊疗服务
联系我们
科室咨询电话:27165666转81082
侯安丽主任出诊时间:每周日
出诊科室:妇科(西院区松白路4253号)
备注: 可在互联网医院(公众号“中国科学院大学深圳医院”后台—“智慧医院”—“互联网医院”)搜索医生免费咨询
【推荐阅读】
1. 什么?打鼾竟然也会致死!这种鼾声最危险
2.猝死有多可怕,心脏康复就有多重要!
3.名医访谈丨当心梗“来袭”,胸痛、胸闷时,我们该怎么做?
4.名医访谈丨介入超声技术——针尖下的“精准打击”
5.名医访谈丨脖子酸痛,上肢发麻……当心是颈椎病!
6.名医访谈丨春秋哮喘高发季,该如何预防治疗
7.名医访谈丨“手汗症”到底是不是病?
妇产科学科带头人

范余娟
主任医师、博士、博士生导师
中国科学院大学深圳医院副院长
从事妇产科临床、教学及科研工作30余年,有丰富的临床经验,对妇科良恶性肿瘤如宫颈癌、子宫内膜癌、卵巢癌、外阴癌及子宫肌瘤、卵巢囊肿的诊治;对子宫内膜异位症、子宫腺肌症、女性生殖道畸形、不孕症、月经不调、子宫脱垂等疾病的诊治均有丰富的临床经验。主持国自然科研课题1项,省级科研课题3项,主研国自然科研课题2项,获得广西医药卫生适宜技术推广二等奖1项,在国家核心期刊上发表医学论文20余篇。
学术任职:
▪ 中华医学会肿瘤学分会妇癌专业学组委员
▪ 中华医学会广西妇产科分会常务委员兼秘书
▪ 中华医学会广西妇科肿瘤分会常务委员
▪ 中国抗癌协会广西妇科肿瘤专业委员会常务委员
▪ 国家药品价格谈判专家库专家
▪ 广西高校教师系列高级评委库成员
▪ 广西医学会医疗事故鉴定专家库成员
▪ 广西科技项目及科技成果评审专家
▪ 《中国计划生育和妇产科》杂志编委
▪ 《广西医科大学学报》杂志编委
▪ 曾任四川省青年联合会委员
▪ 乐山市青年联合会委员
科普指导专家

侯安丽
妇一科副主任 副主任医师 硕士
清华大学博士在读 清华大学深研院校外导师
从事妇产科临床、教学、科研工作近20年。擅长妇科肿瘤的诊治如卵巢癌、子宫内膜癌、宫颈癌等恶性肿瘤的手术及化疗等综合治疗;擅长宫腔镜、腹腔镜及单孔腹腔镜微创手术治疗。主研及参与省市级科研课题4项,获得河北医学科技奖二等奖2项,发表学术论文20余篇,其中SCI论文7篇,出版医学著作3部。
学术任职:
1.广东省生殖免疫与内分泌专科联盟理事
2.广东省基层医药学会妇科专业委员会委员
3.广东优生优育协会人流关爱专业委员会委员
4.深圳市医师协会妇科肿瘤专业委员会理事
5.深圳市医师协会妇产科分会理事
6.深圳市抗癌协会妇科肿瘤专业委员会委员
7.深圳市女医师协会第四届理事会常务理事
8.深圳市中西医结合学会妇产科专业委员会委员
end
本微信公众号致力于公益宣传,无任何商业用途,图片版权属于原作者,若有文字、图片、视频涉及侵权或违规,请及时告知删除。
视频:徐超凡 徐志聪
资料来源:妇科 刘慧兰
制作:江珊
审核:王静杰
关注我们
我院服务号


我院订阅号


