
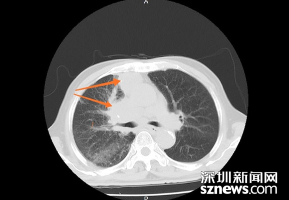
低剂量CT筛查发现右肺肿物

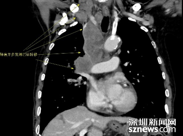
进一步CT增强提示右肺癌并多发淋巴结转移
深圳新闻网2019年2月20日讯(记者 刘梦婷 通讯员 刘晓韵 刘迪敏 张伟)深圳光明区的李大爷今年78岁,年年体检的他身体也一直不错。可是从去年11月底起,李大爷开始不停地咳嗽咳痰,起初老人以为是感冒。随着时间推移,老人家的病症越来越重,来到中山七院就诊,做了胸部CT检查后发现是肺癌。
李大爷在子女的陪同下来到中山七院胸外科复诊。通过进一步检查,确诊为右肺癌并胸膜转移,纵膈、腹膜后淋巴结转移。这一消息仿佛晴天霹雳,让全家人不敢相信。
“单位每年都组织体检,也都检查了胸片,怎么一直都没发现,还发生了这么多地方转移?”李大爷觉得奇怪。经过医生询问,原来李大爷每年体检的项目都是胸部X光片。
为什么X光片发现不了早期肺癌呢?专家介绍,X光片检出早期肺癌的概率只有0~15%,非常低。通常,X光片所发现的肺癌基本已经属于中晚期了。这是因为,43%的肺部面积和心脏、纵隔等组织重叠,早期肺癌很容易被当作慢性炎症治疗。对于小于1cm的小结节,更是几乎没有检出效果。可以说,用X光片查肺癌,完全是在假装防癌。
肺癌早筛的正确做法
1、用高清CT检测肺癌。由于分辨率高,肺癌肿瘤在1厘米,甚至0.8厘米时即可被查出。建议50岁以后的中老年人或有肺癌家族史的人,体检中把X光片换成CT。
2、更推荐大家用低剂量螺旋CT查肺癌加上几个生物标记,检出率可以到90%以上。
肺癌发生率、死亡率居高不下!哪些人要关注?
肺国家癌症中心的2019年1月发布的统计报告显示,全国恶性肿瘤发病率第1位的是肺癌,为57.26/10万;死亡率第1位也是肺癌,为45.87/10万。
世界肺癌大会有关于肺癌筛查的NELSON研究表明,肺癌高危人群定期进行低剂量螺旋CT检查,男性10年肺癌死亡率下降26%,而女性10年肺癌死亡率下降39%。
NELSON肺癌高危人群定义为50~75岁,吸烟≥25年、每天≥15根或≥30年、每天≥10根,仍在吸烟或戒烟≤10年。
我国首个《低剂量螺旋CT肺癌筛查专家共识》,建议将高危人群定义如下:
一、年龄50~75岁
二、至少合并以下一项危险因素:
1、吸烟≥20包/年,其中也包括曾经吸烟,但戒烟时间不足15年者;
2、有恶性肿瘤病史或肺癌家族史;
3、被动吸烟者;
4、有COPD或弥漫性肺纤维化病史。
5、有职业暴露史(石棉、铍、铀、氡等接触者)。
早发现早治疗更要早预防
虽然肺癌的发生率、死亡率双双居高不下,但事实上肺癌是最可预防的癌症之一
1、戒烟什么时候都不算晚
戒烟后肺癌的风险相对较快下降,5年后风险下降39%。要远离烟草,不吸烟,也避免吸二手烟。尽早戒烟,可以大大降低患肺癌的风险。数据显示,30岁以前戒烟能将患肺癌的风险降低90%,戒烟5年之内的人,死于肺癌的几率会降至每天吸1包烟人的一半;戒烟超过10年后,死于肺癌的几率降至非吸烟者的水平。
2、使用环保的装修材料
建议在装修完毕后应通风至少三个月再住人,避免室内空气污染;在家要常通风,出门要戴口罩。
3、对“油烟”保持警惕
一定要保持厨房通风,打开抽油烟机。
不要一炒完菜就关油烟机,至少再开3~5分钟;烹调时不要等油锅冒烟,少用煎炸烹调方式;起居室和卧室要与厨房分隔开,避免污染的厨房空气进入其他居室。
4、增加食物中蔬菜、水果的摄入量
尤其多食富含胡萝卜素、维生素C、维生素E、叶酸、微量元素硒等食品
可降低肺癌发病率。同时,要生活规律,心情愉快,劳逸结合,锻炼身体,增加防病抗病的能力。肺部慢性疾病患者也要及时诊治,避免小病拖成大病。
年年体检发现肺癌已是晚期?专家提醒:X光片做不了肺癌早筛!