坪地101岁老人,家中不慎摔倒骨折后...
2021-08-07 21:32 来源:坪地在线

近日
龙岗区第六人民医院
再次成功
为101岁高龄股骨颈骨折老人
进行了人工股骨头置换手术
老人术后第二天即可下地行走

l 意外 l
百岁老人不慎摔倒骨折
阿婆姓廖,家住坪地街道坪东社区,今年已经是101岁高龄。日前在家中不慎摔倒,由家属呼叫120救护车紧急送入区六院骨科,被确诊为右股骨颈骨折。

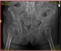
术前X光片

术前四维重建
l 信任 l
口碑良好,病患及家属高度信任
股骨颈骨折对高龄老人往往是致命性的,所以有“人生的最后一次骨折”之说。
如果采取保守治疗,则阿婆需要长期卧床,容易导致坠积性肺炎、下肢深静脉血栓、褥疮等一系列危及生命的并发症。
如果采取手术治疗,毕竟阿婆年事已高,各个器官功能严重退化,心肺功能和手术耐受力差,存在较大风险。


家属说
“我们就是因为信任你们才过来的!”
原来,在廖婆婆之前,区六院成功为数十位高龄髋部骨折老人手术的事情,周边的居民早有耳闻。


l 欣慰 l
多科协作,手术顺利恢复良好


术后x光片
陈 宇

“虽然这项手术在区六院已经是常规开展,但毕竟阿婆是超过百岁的高龄老人,还是会担心辜负老人和家属的期望。医院制定了周密的手术方案,在骨科、麻醉科及护理等多学科的紧密配合和通力协作下,手术非常成功。看到老人重新站起来,开开心心顺利出院,终于可以放心了。”骨科主任陈宇欣慰地说。

| 科普 |
如何预防,专家温馨提醒
骨科主任陈宇说:日常生活中老年人要注意以下方面:
1、注意老年人生活安全;
2、外出时家属陪同或使用拐杖;
3、注意饮食多样化,新鲜蔬菜水果保持大便通畅;
4、注意补钙,适当户外锻炼,预防骨质疏松,增强体格;
5、避免跌倒及外伤是本病预防的关键。

预防老人摔倒小诀窍


老年健康齐关注,预防摔倒是首要;
早晨起来莫要急,坐起穿鞋缓一缓;
拐杖长度要适中,手柄简单握得牢;
东西掉了莫弯腰,缓慢蹲下小心捡;
上下楼梯抓扶手,小心路上瓜果皮;
步态平稳更放心,人多路滑要绕道;
运动强身要适度,太累停下歇歇脚;
防范措施牢于心,健康生活乐淘淘。
陈 宇

简 介
陈宇
主任医师
龙岗区第六人民医院骨科主任
毕业于中南大学临床医疗专业,从事骨科临床工作三十余年,曾先后赴中南大学湘雅二院骨科及中国人民解放军总医院(301医院)骨科进修学习。
擅长创伤、骨关节疾病及脊柱外科疾病的诊治,在髋、膝等人工关节假体置换、微创钢板(Mippo技术)、四肢骨折、髋臼骨盆骨折方面具有较高造诣。

科 室 介 绍

(非疫情期间拍摄)
骨 科
深圳市龙岗区第六人民医院骨科创建于2012年,是龙岗区特色学科,是广东省中西医结合学会骨科分会委员单位。
科室全体人员齐心协力,励志创新,借鉴了国内外的先进技术,应用国际先进的“AO”技术诊治四肢骨,脊柱、关节、骨盆创伤,在四肢关节的治疗上积累了丰富的临床经验,特别是对复杂关节内骨折的治疗有独到之处。
拥有先进的骨科手术器械和配套的手术设备,可开展髋、膝人工关节置换术,脊柱后路减压与内固定术、四肢骨折、髋臼骨折、骨盆骨折等各种骨科常规及复杂、精细手术方法,技术达到先进水平。
END
来源:深圳市龙岗区第六人民医院

