“长了一颗水疱,我痛得只剩半条命…”
2021-07-14 18:19 来源:协和深圳医院

那天,我梦见了一个白胡子的老大爷,他拎着个药箱向我推销他的神药。
我一脸不屑地问他,你有没有能让我变瘦的药?
他深思熟虑了一会儿,做出了一个违背祖宗的决定,给了我一粒药吃了……

第二天醒来,我发现自己得了口腔溃疡,随后好些天一直吃不了东西,体重果然就降了下去。

好了之后我又梦见了老头,这次他主动问我,想不想整点刺激的猛药?
我深思熟虑了一会儿,果断来了一粒。
第二天醒来,什么都没有发生,我发现身上多了一片带!状!疱!疹!


提起带状疱疹,大家可能并不熟悉,但它还有另外一个家喻户晓的代名词——“水痘”。

▲ 水痘-带状疱疹的关联
很多人会觉得,水痘、疱疹这玩意儿,就是个长了个泡而已,挤了它就万事大吉……

但是——带状疱疹带来的痛苦,绝对能刷新你的认知:
“每天它都会爆发两次,一次都要痛上七八分钟。痛起来的感觉就像头要炸裂一样,好像有人用锄头把你脑袋挖开,接着再用锤子敲、火钳来烫,简直就是在受酷刑。”
患者故事
2021年6月5日,一阵阵痛苦的哀嚎声穿透了协和深圳医院住院部17楼的病房,哭声来自一位刚入院的六旬患者——李阿姨(化名)。
回忆起这一个多月来的疼痛折磨,她形容这简直是一场“噩梦”,要了自己半条命一样。
而“噩梦”的起点,则要从一颗疱疹说起。
01
#患者故事
一颗疱疹,演变成疼痛难忍的“酷刑”
5月17日,李阿姨如往常一样醒来,但是右脸却猛然传来一阵刺痛,她赶忙凑到镜子前一看,原来自己右脸上长起了一颗颗红红的疱疹。
一开始,她并没有把小小的疱疹放在心上,以为忍忍过去了,但随后的几天,疱疹慢慢扩散开来,伴随着一阵阵的三叉神经痛。


▲ 头部出现带状疱疹
5月19号,李阿姨的右脸已被疱疹侵蚀,右眼也红肿得完全睁不开。此时,李阿姨的一个医生朋友打来了电话,让她去自己所在的市属医院就诊。
经医生诊断,李阿姨正是患上了带状疱疹。
带状疱疹,俗称“缠腰蛇/龙”、“缠身蛇/龙”,是由长期潜伏在人体神经细胞中的嗜神经水痘——带状疱疹病毒引起的急性感染性皮肤病。之所以被叫“缠腰蛇/龙”,是因为它通常长在身体一侧,沿着一个地方生长,形状类似一条蛇/龙盘旋在身上。


▲ 李阿姨眼睛肿得睁不开,长期如此势必影响视力
随后,李阿姨立即被收治入院。治疗了10多天后,李阿姨脸上疱疹引发的溃烂慢慢结痂好转。
然而,疱疹带来的疼痛却并没有随之消失,剧烈的神经痛依旧时不时地在折磨她。


▲ 疱疹结痂好转,但疼痛感依旧留存
李阿姨回忆道:“去办出院手续那天,我突然感觉头痛得要炸了一样,当时抱着脑袋蹲在路上好久。”
为什么疱疹好了,都出院了,却还时常剧痛发作?
难道今后要一直这样痛下去了吗?
从市属医院出院的时候,李阿姨眉头依旧紧缩……

02
#患者故事
治好了疱疹,头痛却变本加厉
6月3日,也就是出院回家的第二天,李阿姨头部的剧痛又发作了,这次更是变本加厉。
原本乐观风趣的她被折磨得食欲不振、夜不能睡,有时痛得嚎啕大哭,满地打滚。

▲ 带状疱疹的痛苦
李阿姨的儿子每天都在网上搜索、问诊,眼科、皮肤科、神经科都问遍,经其他医院专家推荐,他们来到协和深圳医院的国家级重点学科——疼痛科求医。
6月5日,在协和深圳医院疼痛科办理完入院手续后,李阿姨的三叉神经痛再度爆发,于是出现了视频里的这一幕。
鉴于李阿姨的病情,疼痛科立即组织了全科大会诊,决定在周日为李阿姨加班加急做一场手术,采用电刺激治疗法来解除她的带状疱疹性神经痛。

03
#患者故事
脑袋里植入起搏器,痛苦完全缓解
“所幸的是,李阿姨之前在其他医院住院治疗了一段时间,疼痛问题虽未能解决,但是身体状态已经调整较好。”
李阿姨的主治医生、华中科技大学协和深圳医院疼痛科罗裕辉博士说。
电刺激治疗法
即通过植入的神经发生器(俗称神经起搏器)将电流传送至病变神经和或其脊髓连接处,甚至更高神经中枢从而发挥镇痛作用。
目前,这项治疗方法被广泛应用于神经性疼痛(如带状疱疹性神经痛、切口痛)、头痛(如丛集性头痛、顽固性偏头痛)及部分癌性疼痛患者等。
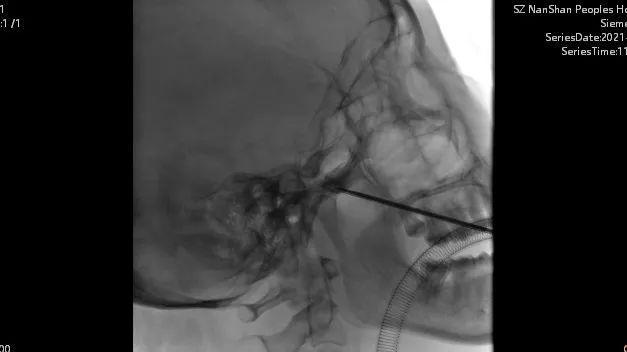
6月6日,在疼痛科主任熊东林的指导下,罗博士和团队顺利在李阿姨的颅内植入了一个神经起搏器,手术非常成功。





▲ 手术植入神经起博器
让李阿姨惊喜的是,手术后,她的疼痛明显缓解,再也没有过爆发性的疼痛。“只有疱疹恢复和创口位置的刺痛感,我完全可以忍受”。


▲ 术后的李阿姨再无发作剧痛
6月30日,经过疼痛科医护团队一段时间悉心的治疗和护理,李阿姨的疼痛大大缓解,她带着神经起搏器顺利出院。
“这个起搏器我们已给它设定好了各个参数,如果她日常还出现神经痛,只需进行‘上、下、开、关’几个操作,就能轻松为自己做电刺激治疗。”罗裕辉说。
7月14日,拆除了神经起搏器李阿姨反馈,自己再也没有过头部神经痛了,她又恢复了往日的笑容。

▲ 拆除仪器后的李阿姨与罗博士合影

04
#患者故事
患带状疱疹怎么办,学科带头人这么说
据华中科技大学协和深圳医院疼痛科学科带头人肖礼祖介绍:
面对带状疱疹,这两个方面是关键:
能传染,别弄破
水痘-带状疱疹病毒在春秋季节处于活跃状态,人体免疫力低下就容易发生病症。
要注意的是,带状疱疹具有传染性!能通过空气飞沫传播,一旦刺破水疱,极容易感染。因此,日常要注意通风,保证空气流通。

早发现,早就医
一旦患上带状疱疹,最好的办法就是早发现早就医!拖得越久越容易产生并发症、后遗症。
带状疱疹最常见的并发症就是神经痛,这是病毒侵犯神经引起的疾病,会引起神经的刺痛,少数人可以疼痛持续数月数年,产生“带状疱疹后遗神经痛”,治疗上也很困难。因此发现带状疱疹,千万不要迟疑,以免影响最佳治疗效果。

电刺激治疗法是目前针对带状疱疹后遗神经痛等顽固性疼痛最先进、最有效治疗手段之一,可以为患者解决痛苦。
据了解,作为国家级重点学科,协和深圳医院疼痛科在国内率先开展了短时程电刺激治疗带状疱疹性神经痛,也是最早使用短时程电刺激治疗带状疱疹性三叉神经痛,目前电刺激治疗病例数位居全国前列。
“像李阿姨这样罹患带状疱疹神经痛的患者,疼痛科每年都会收治数百例。短时程电刺激既可迅速控制疼痛、减少镇痛药物使用量,同时还可大大降低后遗神经痛的风险,提高治疗质量。”肖礼祖说。


疼痛科
国家临床重点专科
协和深圳医院疼痛科创建于1991年,秉承”安全、有效、效益、发展”科室发展模式——突出”微创介入治疗”的优势特点;本着以”病人为中心”服务理念,做好学科内涵建设。
1997年成立了广东省第一个疼痛诊疗中心;1999年被吸纳为北京医科大学中法疼痛诊疗中心深圳临床基地;2001年被评为深圳市卫生系统重点专科;2009年成为广东医学院疼痛学教研室,中华医学会疼痛学分会临床培训基地(深圳);2013年顺利通过卫生部评审成为国家临床重点专科建设项目;2013年成为《亚太疼痛联盟》创始点;2014年成为深圳市慢性疼痛重点实验室;成立深圳大学疼痛研究所;2015年成立《深圳市南山区人民医院疼痛医学韩济生院士工作站》;2016年成为深圳市首批引进”三名工程”的团队、牵头成立广东省医师协会疼痛科分会;2017年牵头成立国家临床重点专科中日·南山疼痛专科医联体(现加入登记医联体单位为89家);2018年成为粤港澳大湾区疼痛科医师联盟主任单位、疼痛科实验室获批“深圳市疼痛学转化医学创新平台建设项目,同年被苏州卫计委以”临床医学团队”引进。2019年认定为广东省高水平重点疼痛专科。现已是国内建科时间长、综合实力强、临床病例数多和治疗手段丰富、学科辐射范围广的慢性疼痛防治和人才培养中心之一。
目前疼痛科拥有53张床位的独立疼痛病区,每年收治2000多名住院患者。
专科领域推行亚专科建设:目前设有病理性神经痛、骨与关节疼痛和癌性疼痛亚专科;
三大平台建设系统化推进:内窥镜诊疗技术在疼痛性疾病中的应用及研究、神经调制技术在神经源性疼痛中应用及研究、超声介导技术的应用及研究。
疼痛科目前熟练掌握了国内外主流微创介入镇痛技术,在各种急慢性顽固性疼痛的治疗上拥有丰富的经验。
作为广东医学院疼痛学教研室、中华医学会疼痛学分会临床培训基地,对标国际国内一流学科,协和深圳医院疼痛科建设目标为粤港澳大湾区临床研究型学科。

【本期特邀指导】
▼


肖礼祖主任医师
疼痛科学科带头人


罗裕辉
疼痛科副主任医师

带状疱疹治愈了
我又梦到了那个卖药的白胡子老头
我骂他卖的什么辣鸡“刺激猛药”
吃完得了带状疱疹差点把我疼死
老头反问我:
“难道你还不够刺激吗,难道还不够猛吗?”
我想了想……

正当我要醒的时候
老头拉住我连声道歉,说他拿错药了
我一看瓶身上写着

转念再一想,不禁惊呼
“这药太牛了啊!”

我吃完果然后悔了
……
-End-
运营服务 | 南都 • 深圳大件事传媒
*本微信号致力于公益宣传,无任何商业用途,若有文字、图片、视频涉及侵权或违规,请及时告知删除。
往期推荐







