颈部反复脓肿?先天性梨状窝瘘惹的祸!
2021-03-16 20:22 来源:深圳市龙华人民医院

假如颈部长了一个疼痛明显的包块
红肿、发热明显
反复发作,影响吞咽、呼吸等
该去看哪个专科合适?
又该怎么治疗呢?
31岁的孙先生,近期脖子左侧总是肿胀,每当脖子肿起来后就会出现颈部疼痛和发高烧的症状,当地医院反复给与抗感染和穿刺排脓等治疗,但是效果并不理想,令其苦不堪言!

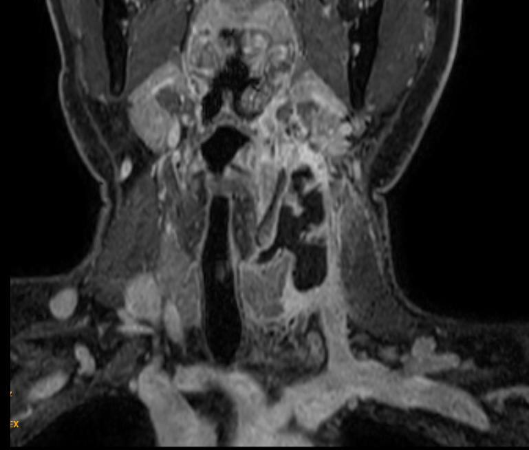
一周前,孙先生左侧颈部再次肿胀起来,孙先生很疑惑,同一个地方反复化脓感染,会不会还有其它问题?带着这个疑问,孙先生来到龙华区人民医院就诊。经龙华区人民医院耳鼻喉科钱迪、陈志喜主任医师仔细检查后,考虑可能是颈部一种相对罕见的疾病——先天性梨状窝瘘(又名:第三鳃源性瘘管)伴感染可能性大,建议孙先生进一步完善颈部增强磁共振检查。
先天性
梨状窝瘘
是什么?

先天性梨状窝瘘( Congenital pyriform sinus fistula,CPSF)是临床上少见的颈部鳃源性疾病。因为这种疾病较少见,并且瘘管的走行复杂,国内的相关医学文献更是缺乏,从而导致认知的有限和诊治经验的严重不足,临床上经常误诊误治,病情迁延不愈几乎成为此类疾病的“主旋律”。其包括第三和第四鳃裂畸形, 占所有鳃源性畸形的 l% - l5%,为胚胎发育早期咽囊或鳃弓异常穿破或不完全闭锁所形成。95%患者的病变发生在左颈,可能与胚胎早期双侧鳃弓发育不对称C细胞迁移紊乱有关。先天性梨状窝瘘(CPSF) 的典型表现是反复发作的颈部脓肿。颈部蜂窝织炎和急性化脓性甲状腺炎等。患者以颈部瘘口伴或不伴溢出液体、豆腐渣样物或者颈部肿块,肿胀、流脓、发热等临床表现入院。
孙先生在完善术前常规检查,排除手术禁忌症后,在龙华区人民医院耳鼻喉科高层次医疗团队—上海交通大学附属第六人民医院耳鼻咽喉头颈外科学的指导下,龙华区人民医院耳鼻喉科医生为孙先生完成了低温等离子下左侧梨状窝瘘封闭术+左侧颈部小切口切开排脓术,该术避免了传统需要颈部大切口长时间的手术方式,术后孙先生恢复顺利,未出现颈部再次肿胀隆起。
低温等离子刀的优势?
1.
低温等离子刀头温度相对较低(40~70℃),在一定程度上减轻了对梨状窝周围黏膜、喉返神经等组织的损害;
2.
低温等离子操作方便(尤其是在深处、有角度的情下);
3.
低温等离子梨状窝瘘内瘘口封闭术简便,微创,可重复进行,推荐作为治疗先天性梨状窝瘘的首选手术方案。

低温等离子刀
龙华区人民医院耳鼻喉科钱迪主任温馨提醒广大患者朋友:这种疾病非常罕见,抗炎排脓治标不治本,所以遇到类似情况,一定要积极就诊,第一次明确诊断及彻底的手术治疗非常关键!
龙华区人民医院耳鼻喉科
科室人员
耳鼻喉科共有医护人员32人,其中主任医师2名,副主任医师3名,主治医师6名,医师3名,听力师2名,主管护师4名,护师12名;其中博士2名,硕士7名。
专科地位
耳鼻喉科是深圳市龙华区重点学科建设单位,科室引进上海交通大学附属第六人民医院时海波教授耳内科团队,并加入《鼻咽癌综合诊治联盟》和《全国等离子医疗联盟》,获批广东医科大学耳鼻喉科研究生培养点。
诊疗特色
随着新技术的开展及不断引进,年手术量达800余台,设有耳科组、鼻科组、咽喉及头颈肿瘤组,目前科室能够开展耳鼻咽喉-头颈外科的各种常见手术和疑难手术,并延伸至前颅底、侧颅底、鼻颅相关、鼻眼相关领域,广泛开展鼻腔、鼻窦、中耳、内耳、咽喉及头颈疾病的微创治疗。
作者:龙华区人民医院耳鼻喉科 罗东


